Mon enfant présente un glissement de la 5° vertèbre lombaire Spondylolisthésis L5 (par lyse isthmique)
Qu’est-ce que c’est ?
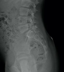
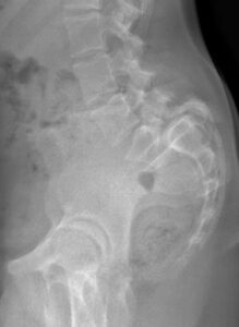
Le spondylolisthesis L5 est un glissement en avant de la 5° vertèbre lombaire par rapport au sacrum. Le glissement est du à une fracture progressive (lyse) à la jonction (isthme) entre la partie antérieure et la partie postérieure de la 5° vertèbre. D’où le nom de spondylolisthésis par lyse isthmique.
C’est une anomalie très fréquente (environ 3% à 5% de la population).
Quelle est la cause ?
La lyse et le glissement se produisent le plus souvent avant la puberté entre 5 et 10 ans. Plusieurs facteurs sont incriminés :
– La position debout. En position debout, il existe des contraintes mécaniques sur l’isthme, qui peuvent entraîner une lyse osseuse, puis le glissement de la partie antérieure de la vertèbre.
– Les contraintes répétées sur l’isthme liées aux exercices sportifs répétés. Ceci explique la plus grande fréquence du spondylolisthésis chez les sportifs, notamment les gymnastes ou les plongeurs.
– Les facteurs génétiques. Il existe des formes familiales de spondylolisthésis. Le spondylolisthésis peut être plus fréquent dans certaines populations (Par exemple chez les esquimaux).
Quels sont les symptômes ?
Très souvent (environ 3/4 des cas) il n’y a aucun symptôme. Le spondylolisthésis est de découverte fortuite sur une radiographie réalisée à la suite d’une chute ou d’un traumatisme.
Dans 1/4 des cas, le spondylolisthésis est responsable de lombalgies avec parfois des douleurs de type sciatique au niveau des membres inférieurs. Ces douleurs sont d’allure mécaniques, elles surviennent en position debout prolongée ou au cours d’activités sportives.
Quel est le pronostic ?
Il existe 2 formes de spondylolisthésis en fonction du glissement.
– La forme stable est la plus fréquente (plus de 95% des cas). Le glissement est minime. Le pronostic est bon. Cette forme est compatible avec la poursuite d’une vie normale.
S’il n’y a pas de douleur, aucun traitement n’est nécessaire et l’enfant peut poursuivre une vie normale sans restriction sportive.
En cas de douleur un traitement fonctionnel peut être proposé, avec arrêt du sport rééducation et corset lombaire.
Un traitement chirurgical est rarement nécessaire, il est proposé uniquement en cas de douleurs invalidantes réfractaires au traitement fonctionnel.
– La forme instable est rare. Le glissement est important et risque de s’aggraver. Un traitement chirurgical est souvent proposé.
Quand prendre un avis spécialisé ?
Une consultation auprès d’un orthopédiste pédiatre est nécessaire en cas de douleur ou de glissement important.

Spondylolisthésis stable

Spondylolisthésis instable
Rédaction : Jérôme SALES DE GAUZY
Validation : SoFOP
Version : 2020

